Rare Diseases You've Never Heard Of
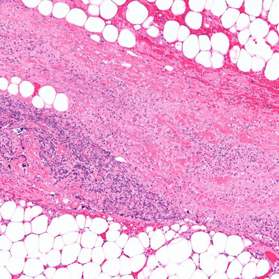
Necrotizing fasciitis is a rare but serious bacterial infection of the skin and fascia. The infection is contracted through an external injury and has early flu-like symptoms. The bacteria can spread quickly and attacks the surrounding tissue, causing it to die. If not treated, the infection can lead to organ failure and death.
Reviewed by:
Review Date:
February 28, 2014Citation:
Rare Disease Day, “What is a Rare Disease?” NORD, “Rare Disease Database” NIH Office of Rare Diseases Research NIH Office of Rare Diseases Research, “Pulmonary Arterial Hypertension” Cleveland Clinic, “Pulmonary Hypertension” NIH Office of Rare Diseases Research, “Multiple Myeloma” Recent Results Cancer Research, “Epidemiology of multiple myeloma.” NORD, “HAILEY-HAILEY DISEASE” Pravara Med Review, “Hailey-Hailey Disease- A Case Report” NORD, “PARRY ROMBERG SYNDROME” Practical Neurology, “Parry-Romberg syndrome” NORD, “CRONKHITE-CANADA SYNDROME” Gastroenterology Research and Practice, “Cronkhite-Canada Syndrome: Review of the Literature” Medscape, “Congenital Hypertrichosis Lanuginosa” DermNet New Zealand, “Hypertrichosis” American Journal of Clinical Dermatology, “Causes and management of hypertrichosis.” Mayo Clinic, “Hypopituitarism” NIH Office of Rare Diseases Research, “Hypopituitarism” MedlinePlus, “Hypopituitarism” NIH Office of Rare Diseases Research, “Adult-onset Still’s Disease” MedlinePlus, “Adult Still's disease” NIH Office of Rare Diseases Research, “Wolman Disease” NIH Office of Rare Diseases Research, “Necrotizing Fasciitis” CDC, “Hemophilia” NIH Office of Rare Diseases Research, “Hemophilia” NORD, “SEGAWA SYNDROME” NIH Office of Rare Diseases Research, “Progressive multifocal leukoencephalopathy” NIH Office of Rare Diseases Research, “Progeria” NIH Office of Rare Diseases Research, “Congenital insensitivity to pain with anhidrosis” NIH Office of Rare Diseases Research, “Acromegaly” MedlinePlus, “Acromegaly” Courtesy of Paul Michael Hughes | Dreamstime Courtesy of Alexander Raths | Dreamstime Courtesy of Tyler Olson | Dreamstime By Yale Rosen via Wikimedia Commons Wikimedia Commons By Julesmcn via Wikimedia Commons By Desherinka via Wikimedia Commons Courtesy of Marcela Kopacova et al. Wikimedia Commons Wikimedia Commons By James Heilman, MD via Wikimedia Commons Wikimedia Commons By Nephron via Wikimedia Commons Courtesy of Woodooart | Dreamstime.com By James Heilman, MD via Wikimedia Commons By radswiki via Wikimedia Commons By See Source via Wikimedia Commons By J. Terrence Jose Jerome via Wikimedia Commons Photo of Maurice Tillet via Wikimedia Commons
Last Updated:
July 1, 2014
